Cháu 35 tuổi, bị đau nhức răng vùng hàm bên phải đã mấy ngày nay, không cố định ở một răng mà kéo lên tai và cả hàm dưới nữa, ấn vào vùng má cũng thấy đau, về chiều tối nhất là khi nằm xuống thì đau tăng.

Xin hỏi bác sĩ cháu bị bệnh gì, có nguy hiểm không? Nên khám ở đâu?
Phạm Thanh Huyền(thanhhuyen@gmail.com)
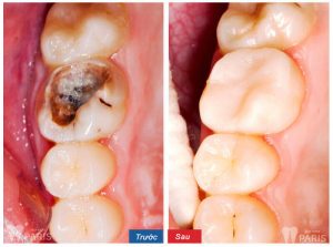
Theo thư mô tả thì rất có thể bạn bị viêm tủy răng. Viêm tủy răng là nguyên nhân phổ biến nhất gây đau răng và mất răng ở người trẻ tuổi. Viêm tủy răng là viêm vùng tủy của răng và các mô bao quanh chân răng. Nguyên nhân gây bệnh gồm: vi khuẩn, do điều trị (răng sâu: làm lộ tủy, nứt thân răng, chấn thương (gãy thân răng, mài mòn, nghiến răng). Bệnh này có thể cấp tính hoặc mạn tính, hồi phục hoặc không hồi phục trong những tình trạng kéo dài.
Các triệu chứng của viêm tủy răng không thể hồi phục gồm: đau nhói; đau tự phát có thể kéo dài từ vài phút đến vài giờ; ở giai đoạn đầu, đau có thể hình thành một cách tự nhiên hoặc từ kích thích do nóng hoặc lạnh; đau bị ảnh hưởng bởi vị trí cơ thể ở các giai đoạn sau, cơn đau có thể ảnh hưởng tới dây chằng quanh răng và các cơn đau khu trú; đau nặng hơn vào ban đêm. Bạn nên khám bác sĩ nếu có bất kỳ tình trạng viêm tủy răng cấp tính nào sau đây:
Cơn đau không khu trú ở răng, tình trạng đau nặng hơn khi bạn tựa lưng hoặc nằm xuống; Răng trở nên đau với các kích thích nóng hoặc lạnh; Thay đổi màu sắc rõ ràng ở răng bị ảnh hưởng; Sưng nướu hoặc mặt ở vùng răng bị ảnh hưởng.
Viêm tủy răng cũng có thể kết hợp với một số rối loạn hệ thống, nhiễm khuẩn đến tim và tăng nguy cơ bệnh tim mạch và các vấn đề mạch máu não. Vì vậy, bạn cần khám bác sĩ nha khoa sớm. Tùy mức độ tổn thương bác sĩ sẽ có chỉ định điều trị phù hợp.

